Ugrás a tartalomhoz
Dr. Pukoli Dániel - Neurológus
Online Konzultáció Neurológus
Betegségek Megértése
Derékfájás Fejfájás Kiemelt Másodvélemény Migrén MR Nyakfájás Szédülés Szklerózis Multiplex Sztrók Vascularis Encephalopathia Zsibbadás
Másodvélemény Időpontfoglalás Kapcsolat
Főoldal › Betegségek Megértése › Kiemelt

Kiemelt

Kiemelt

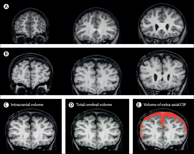
Mit jelent a liquortér tágulat?

2026. 04. 24. 4 perc

CT-n, MRI-n "Mit jelent a liquortér tágulat? Neurológusként magyarázom a külső és belső liquorterek tágulatának okait és jelentését

Kiemelt

Amikor a szilikon több kárt csinál, mint hasznot

2024. 10. 20. 7 perc

A szilikon mellimplantátumok autoimmun reakciókat okozhatnak (ASIA szindróma); tünetek: fáradtság, ízületi fájdalom, neurológiai tünetek.

Kiemelt

Hajhullás okai és kivizsgálása

2024. 06. 21. 2 perc

Magánéleti vagy munkahelyi stressz ugyanúgy hatással lehet a haj állapotára, mint a tápanyag- vagy a vitaminhiány, hormonális problémák.

Kategóriák

  • Derékfájás0
  • Egyéb4
  • Fejfájás4
  • Kiemelt3
  • Másodvélemény2
  • Migrén4
  • MR2
  • Nyakfájás1
  • Szédülés5
  • Szklerózis Multiplex8
  • Sztrók1
  • Vascularis Encephalopathia1
  • Zsibbadás1

Szolgáltatások

  • Online Konzultáció
  • MR Lelet Kiértékelés
  • Orvosi Másodvélemény
  • E-recept Felírás
  • Online Demencia Teszt

Időpontfoglalás

Online neurológiai konzultáció akár 24 órán belül

Foglaljon időpontot
Dr. Pukoli Dániel
Neurológus szakorvos, adjunktus
Adatvédelmi szabályzat Blog Orvos válaszol Cookie-beállítások
Copyright Dr. Pukoli Dániel - neurológus szakorvos 2026